Особенности услуги доставки цветов
Буквально во все времена цветы считались хорошим знаком и преподносились исключительно в праздники и с хорошими намерениями. Так же и сейчас, цветы являются украшением...
Стенка из массива дерева: будет привлекать внимание уникальным рисунком фасадов и резьбой
Современные производители мебели в последнее время сделали огромный скачок в технологии изготовления гостиных, стенок, детских, прихожих и кухонных гарнитуров. Благодаря этому на рынке стали...
Какие услуги предоставляет транспортная компания?
В наши дни транспортные компании имеют большой спрос, что привело к тому, что большинство компаний, не имея никакого предложения для клиентов, стали закрываться. На...
Как выбрать спектакль для ребенка?
Сейчас ребенка очень сложно заинтересовать каким-либо мероприятием, поэтому для многих родителей выбрать развлечение для своего чада – это большая трудность.
Конечно же, наличие гаджетов, различных...
Научные шоу программы для детей: причины популярности
В настоящее время очень часто дети просто не знают, чем заняться в свободное время, именно поэтому они просто погружаются в какие-либо гаджеты, которые не...
Методика фракционного RF-лифтинга Fractora
В современном мире каждая представительница нежного и прекрасного пола всеми возможными способами старается ухаживать за своей кожей лица, да и вообще за всем телом.
Однако...
Как создать визитку онлайн?
Визитка - важный атрибут имиджа компании
Визитка - это неотъемлемая часть имиджа компании или индивидуального предпринимателя. От такого, казалось бы, маленького по размерам, но большого...
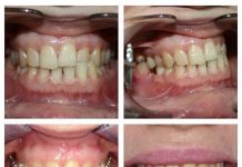
Брекеты в Краснодаре
Желая наслаждаться красивой улыбкой необходимо своевременно позаботиться об выравнивании зубов с помощью современной брекет-системы.
Это эффективный способ, позволяющий сделать зубной ряд безупречным и избавится от...
Особенности аудита мерчендайзеров
Грамотная мерчендайзинговая политика – это залог успешного функционирования любого торгового предприятия.
Если правильно все реализовать, можно существенно нарастить продажи или увеличить спрос на конкретные наименования....
Фильтры для воды – выбор оптимального варианта
Фильтры предназначенные для воды, просто необходимы абсолютно в любом жилом помещении.
Именно они способны очистить воду от неприятного запаха, вкуса, хлорки и других различных примесей,...













